矯正装置の種類

矯正装置の種類

患者様のニーズや症状の状況に応じて、様々な装置が使い分けられています。当院で使用している主な矯正装置についてご紹介します。

固定式装置
患者様が自分では外せないタイプの装置

固定式装置
患者様が自分では外せないタイプの装置

固定式装置の”固定”というのは、「患者様が自分では外せない」つまり「くっついたままになっている」という装置です。
ここでは固定式装置の代表例をご紹介します。

■ マルチブラケット装置
永久歯列期の矯正に通常使用されるエッジワイズ法のマルチブラケット装置。歯を3次元的にあらゆる方向に移動させることのできる唯一の方法です。
■ パラタルアーチ
「加強固定装置」と言われ、奥歯が手前に倒れてこないよう、固定源を強化するために用いる装置です。
マルチブラケット装置
永久歯列期の矯正に通常使用されるエッジワイズ法のマルチブラケット装置。歯を3次元的にあらゆる方向に移動させることのできる唯一の方法です。
パラタルアーチ
「加強固定装置」と言われ、奥歯が手前に倒れてこないよう、固定源を強化するために用いる装置です。
■ リンガルアーチ
歯を裏側から押したり、引っ張ったりする時や上顎前方牽引装置を使用する時の固定源として、しばしば用いられます。
■ ポーター型拡大装置
「歯列全体を拡大する装置」です。上下歯列のどちらが小さい場合に、歯列全体を拡大するときに使う装置です。
リンガルアーチ
歯を裏側から押したり、引っ張ったりする時や上顎前方牽引装置を使用する時の固定源として、しばしば用いられます。
ポーター型拡大装置
「歯列全体を拡大する装置」です。上下歯列のどちらが小さい場合に、歯列全体を拡大するときに使う装置です。
■ 急速拡大装置
上顎の骨を土台ごと側方に拡大する装置です。つまり上顎骨を大きくすると言うわけで、矯正力と言うよりも整形外科的力がかかる装置です。
急速拡大装置
上顎の骨を土台ごと側方に拡大する装置です。つまり上顎骨を大きくすると言うわけで、矯正力と言うよりも整形外科的力がかかる装置です。

可撤式装置
患者様自身で取り外しができるタイプの装置

可撤式装置
患者様自身で取り外しができるタイプの装置

可撤式装置とは、患者様自身で外したり付けたりが簡単にできるような構造になっている装置という意味です。
また、装置の種類によっては、固定式の部分と可撤式の部分に構造が分かれているものもあります。例えば、ヘッドギヤのように装置を付ける部品(バッカルチューブ)は歯に固定されているが、矯正力を作用させる部分は、自分で取り付けるような装置です。
可撤式装置は、自分で外せるというのが大きな利点で、患者様にとつては気楽にできそうなイメージがありますが、当然のことながら使っている時間しか効果がありませんので、外してばかりでは効果が望めません。

【顎外固定装置】
口の外に装着する装置です。当院で使用している顎外固定装置の代表例である「ヘッドギヤ」と「上顎前方牽引装置」についてご紹介します。
基本的には就寝時に使用していただく装置です。

■ ヘッドギヤ(ホリゾンタルプル)
「小児期の成長発育のコントロール」と「加強固定(動かしたくない歯をしっかりと固定する)」の目的で使用される装置です。
牽引方向を真横にする場合は、こちらのタイプを使用します。
■ ハイプルヘッドギヤ
「小児期の成長発育のコントロール」と「加強固定(動かしたくない歯をしっかりと固定する)」の目的で使用される装置です。
牽引方向を上向きにする場合は、こちらのタイプを使用します。
ヘッドギヤ
(ホリゾンタルプル)
「小児期の成長発育のコントロール」と「加強固定(動かしたくない歯をしっかりと固定する)」の目的で使用される装置です。牽引方向を真横にする場合は、こちらのタイプを使用します。
 
ハイプルヘッドギヤ
「小児期の成長発育のコントロール」と「加強固定(動かしたくない歯をしっかりと固定する)」の目的で使用される装置です。牽引方向を上向きにする場合は、こちらのタイプを使用します。
■ ネックバンド
「小児期の成長発育のコントロール」と「加強固定(動かしたくない歯をしっかりと固定する)」の目的で使用される装置です。
牽引方向を下向きにする場合は、こちらのタイプを使用します。
■ 上顎前方牽引装置
骨格性反対咬合の治療に絶大な効果のある「上顎前方牽引装置」。
上顎を外側に牽引する反作用で、下顎を後方に押し返しているので下顎の前方への成長発育を抑制する効果もあります。
ネックバンド
「小児期の成長発育のコントロール」と「加強固定(動かしたくない歯をしっかりと固定する)」の目的で使用される装置です。牽引方向を下向きにする場合は、こちらのタイプを使用します。
上顎前方牽引装置
骨格性反対咬合の治療に絶大な効果のある「上顎前方牽引装置」。
上顎を外側に牽引する反作用で、下顎を後方に押し返しているので下顎の前方への成長発育を抑制する効果もあります。

     

【床矯正装置】
床矯正装置の「床」とは、英語ではプレート(板という意味)といい、歯の裏側の歯茎の部分に沿うように、プラスティック(歯科用レジン製)の板が覆ってい る装置のことです。
要は歯の部分をくりぬいた入れ歯のような形をしている装置だと思ってください。このプラスティックの板の中に、スプリングやスクリュー 型のネジを組み込んで作用させる装置です。ここでは「床矯正装置」の代表例をご紹介します。

■ バイトプレート
下顎の前方成長促進や、咬み合わせが深い場合に使用される装置です。
■ アクティブプレート
歯の部分的な位置移動に用いる、自分で取り外しのできる矯正装置です。
バイトプレート
下顎の前方成長促進や、咬み合わせが深い場合に使用される装置です。
アクティブプレート
歯の部分的な位置移動に用いる、自分で取り外しのできる矯正装置です。
■ 拡大プレート
「拡大プレート」は歯並び全体を横に拡大する装置です。
拡大プレート
「拡大プレート」は歯並び全体を横に拡大する装置です。

      

【保定装置】
マルチブラケット装置で歯を動かす治療(動的治療)が終了したあとで、歯並びが後戻りしないように押さえておく期間のことを「保定」といい、その時使う装置のことを「保定装置」と言います。

■ リテーナー
リテーナーとはマルチブラケット装置で歯を動かす治療が終了した後に、後戻り防止のために装着する保定装置のことです。
■ クリアリテーナー
クリアリテーナーとは、歯の表面を薄い透明なプラスチックで密着する形で全部覆ってしまうタイプのリテーナーです。透明で目立ちにくく、発音もしやすいのが特徴です。
リテーナー
リテーナーとはマルチブラケット装置で歯を動かす治療が終了した後に、後戻り防止のために装着する保定装置のことです。
クリアリテーナー
クリアリテーナーとは、歯の表面を薄い透明なプラスチックで密着する形で全部覆ってしまうタイプのリテーナーです。透明で目立ちにくく、発音もしやすいのが特徴です。
■ フィックスタイプ
ワイヤータイプの保定装置で、前歯部分を固定するのに使用します。細いワイヤーで歯の裏側から接着剤で固定します。
フィックスタイプ
ワイヤータイプの保定装置で、前歯部分を固定するのに使用します。細いワイヤーで歯の裏側から接着剤で固定します。

     

【その他】

■ セパレーション
バンドを取り付けるためには、歯の間に隙間がなければ入りません。そこで、歯間にゴムを挟み、あらかじめ少し隙間ができるようにします。バンドを取り付けるための準備処置です。
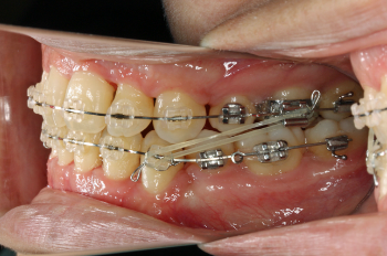
■ 顎間ゴム
上下の歯にゴムをかけることで歯並びを全体的に移動させたり、特定の歯の移動を進みやすくする時などに補助的に使います。
セパレーション
バンドを取り付けるためには、歯の間に隙間がなければ入りません。そこで、歯間にゴムを挟み、あらかじめ少し隙間ができるようにします。バンドを取り付けるための準備処置です。
顎間ゴム
上下の歯にゴムをかけることで歯並びを全体的に移動させたり、特定の歯の移動を進みやすくする時などに補助的に使います。
■ 歯科矯正用アンカースクリュー
人工の固定源。今までの矯正治療では難しかった歯の動きを可能とし、非抜歯矯正の可能性の拡大や、外科矯正をしなければならなかった症例が、手術なしでの矯正が可能になりました。
歯科矯正用アンカースクリュー
人工の固定源。今までの矯正治療では難しかった歯の動きを可能とし、非抜歯矯正の可能性の拡大や、外科矯正をしなければならなかった症例が、手術なしでの矯正が可能になりました。