固定式装置  患者様が自分では外せないタイプの装置です

固定式装置
患者様が自分では外せないタイプの装置

固定式装置の『固定』というのは、「患者様が自分では外せない」つまり「くっついたままになっている」という装置です。ここでは固定式装置の代表例をご紹介します。

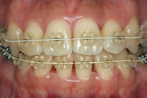
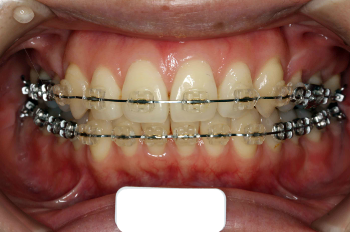
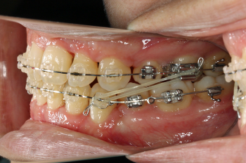
 マルチブラケット装置

マルチブラケット装置
目的

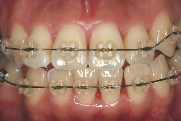
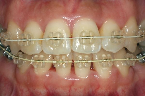
永久歯列期の矯正に通常使用されるエッジワイズ法のマルチブラケット装置。歯を3次元的にあらゆる方向に移動させることのできる唯一の方法です。歯に付けた四角いボタンのようなものが「ブラケット」で、その中に通してある針金のことを「アーチワイヤー」と言います。ブラケットとアーチワイヤーは、通常ゴムリングか細いワイヤーで縛って止めてあります。この縛ることを”結紮(けっさつ)”と言います。

使用方法

初めて装着した日から3日目くらいまでは、だんだん痛みが強くなってくるような感じがしますが、1週間くらい経つとほとんど痛みは感じなくなってきます。

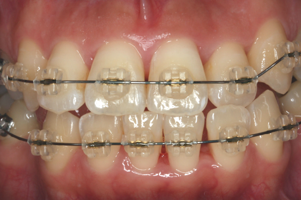
◆ 矯正治療をするうえで気になることは、矯正器具が目立つことではないでしょうか?
当院では、ワイヤーの色が気になるという患者様のために、通常の銀色のワイヤーの他に「ホワイトワイヤー」と「ゴールドワイヤー」を導入しています。
ホワイトワイヤーはワイヤーの表面を白くコーティングしているので、歯の色に近く通常の銀色のワイヤーよりも目立ちにくくなっております。
ゴールドワイヤーは、お口の中で、歯と色が調和し目立ちにくくなっております。目立たないワイヤーをご希望の方は、お気軽にご相談下さい。

矯正治療をする上で気になることは、矯正器具が目立つことではないでしょうか?
当院では、ワイヤーの色が気になるという患者様のために、通常の銀色のワイヤーの他に「ホワイトワイヤー」と「ゴールドワイヤー」を導入しています。
ホワイトワイヤーはワイヤーの表面を白くコーティングしているので、歯の色に近く通常の銀色のワイヤーよりも目立ちにくくなっております。
ゴールドワイヤーは、お口の中で、歯と色が調和し目立ちにくくなっております。目立たないワイヤーをご希望の方は、お気軽にご相談下さい。

【従来】の矯正治療
金属のブラケット
銀色ワイヤー
【通常】銀色のワイヤー
クリアブラケット
銀色ワイヤー
【審美】ゴールドワイヤー
クリアブラケット
ゴールドワイヤー
【審美】ホワイトワイヤー
クリアブラケット
ホワイトワイヤー
【従来】の矯正治療
金属のブラケット
銀色ワイヤー
【通常】
クリアブラケット
銀色ワイヤー
【審美】
ゴールドワイヤー
クリアブラケット
ゴールドワイヤー
【審美】
ホワイトワイヤー
クリアブラケット
ホワイトワイヤー

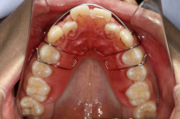
 パラタルアーチ

パラタルアーチ
目的

奥歯が手前に倒れてこないよう、固定源を強化するために用いる装置です(加強固定と言います)。マルチブラケット装置に併用する形でしばしば用いられます。歯並び全体の横幅を維持するためや、横幅を少し拡大させるために用いることもあります。

使用方法

歯に付けたリング状の薄い金属板(バンド)と金属ワイヤーで出来ています。最初は違和感がありますが、1週間程で慣れてきます。

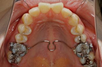
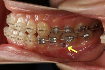
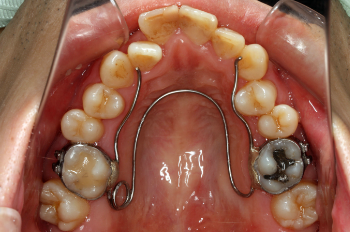
 リンガルアーチ

リンガルアーチ
目的

①歯を裏側から押し出したり、引っ張ったりするときの土台

②マルチブラケット装置や上顎前方牽引装置を使用するときの土台(固定源)

③小児期に六歳臼歯が動かないように留めておく

使用方法

歯に付けたリング状の薄い金属板(バンド)と金属ワイヤーで出来ています。ワイヤーを歯の裏側の形に合わせて軽く接触するように曲げてあり、これを主線と言います。このままで使うこともありますが、裏側から歯を押し出すような力を加えるときには、補助断線を付けて使うときもあります。

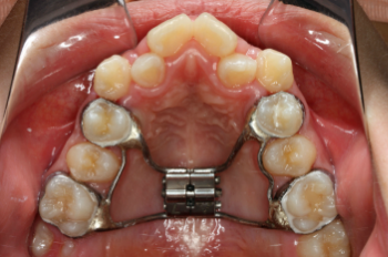
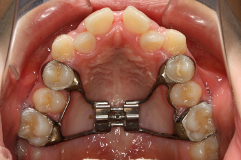
 ポーター型拡大装置

ポーター型拡大装置
目的

「歯列全体を拡大する装置」です。上下歯列のどちらが小さい場合に、歯列全体を拡大するときに使う装置です。床矯正装置と違い取り外しができませんが、確実に拡大することができます。通常上顎に用いますが、下顎に適用することも可能です。デザイン次第で片側を拡大することもできます。この装置は、骨の土台ごと拡大するものではなく、あくまでも歯の配列を拡大するために使います。骨の土台ごと拡大するためには、「急速拡大装置」という特殊な装置が必要です。

使用方法

歯の裏側に太めの針金を沿わせ、奥歯のバンドと一体化してあります。接着剤で固定しますので、ご自身では取り外しができません。拡大が必要な時期には先生が外して、調整後に接着剤で再度とめます。

 急速拡大装置

急速拡大装置
  拡大前
拡大後
目的

上顎の骨を土台ごと側方に拡大する装置です。つまり上顎骨を大きくすると言うわけで、矯正力と言うよりも整形外科的力がかかる装置です。

上顎の骨は左右2枚の「上顎骨」という骨で構成されています。左右の骨は「縫合部」というものでジッパーのようにつながれていまして、大体18歳くらいまではこの縫合部の結合が弱いため、強い力をかけるとこの部分を分離することができます。矯正装置で分離させたところに新しい骨ができると、結果として骨が土台ごと大きくなると言う仕組みです。

 

写真の方の場合、1日1回装置の中央にある拡大ネジを、ご自身で回して頂くことで25日間くらいかけて、6mmほど拡大しました。拡大後は、上顎の前歯の隙間が広がっていることがお分かりいただけると思うのですが、土台の骨ごと広がるのでこのような隙間ができます。その後1年半くらいマルチブラケット装置を使用して、全体の修正を行いました。

使用方法

中心部にあるネジを毎日、回していただくことで0.2〜0.25mm/日のペースで拡げていきます。

可撤式装置  患者様自身で取り外しができるタイプの装置です

可撤式装置
患者様自身で取り外しができる装置

可撤式装置とは、患者様自身で外したり付けたりが簡単にできるような構造になっている装置という意味です。
また、装置の種類によっては、固定式の部分と可撤式の部分に構造が分かれているものもあります。例えば、ヘッドギヤのように装置を付ける部品(バッカルチューブ)は歯に固定されているが、矯正力を作用させる部分は、自分で取り付けるような装置です。
可撤式装置は、自分で外せるというのが大きな利点で、患者様にとっては気楽にできそうなイメージがありますが、当然のことながら使っている時間しか効果がありませんので、外してばかりでは効果が望めません。

【顎外固定装置】
口の外に装着する装置です。当院で使用している顎外固定装置の代表例である「ヘッドギヤ」と「上顎前方牽引装置」についてご紹介します。
基本的には就寝時に使用していただく装置です。

 ヘッドギヤ(ホリゾンタルプル)

ヘッドギヤ
(ホリゾンタルプル)
目的

「小児期の成長発育のコントロール」と「加強固定(動かしたくない歯をしっかりと固定する)」の目的で使用される装置です。牽引方向を真横にする場合は、こちらのタイプを使用します。

①発育期の小児では、上顎骨の発育抑制や下顎骨の発育を前下方への誘導を目的としています。

②発育期を過ぎた場合、または成人の治療では、上顎大臼歯の後方移動や前方への傾斜防止に効果的です。骨格性の上顎前突症や、凸凹の程度がひどく隙間が極端に不足している症例を根本的に治すのに効果があります。

使用方法

上顎大臼歯に固定されたバンドの外側のブラケットにフェイスボウを差し込みます。フェイスボウを取り付けた後、ヘッドキャップをかぶり、横についているゴムをフェイスボウに引っかけます。基本的には、就寝時(1日約8〜10時間)に使用していただきます。

 ハイプルヘッドギヤ

ハイプルヘッドギヤ
目的

「小児期の成長発育のコントロール」と「加強固定(動かしたくない歯をしっかりと固定する)」の目的で使用される装置です。牽引方向を上向きにする場合は、こちらのタイプを使用します。

マルチブラケット装置と併用し、上顎大臼歯の後上方移動や前方への傾斜防止に使用します。特に歯を抜いて治療を行った場合、上の奥歯が前に倒れてきてしまうのを防止します。また、後上方に力がかかるため、奥歯で咬んでも前歯が閉じない状態(開咬)を根本的に治すのに非常に効果的です。

使用方法

上顎大臼歯に固定されたバンドの外側のブラケットにフェイスボウを差し込みます。フェイスボウを取り付けた後、ヘッドキャップをかぶり、指示された穴の位置にフェイスボウに通します。基本的には、就寝時(1日約8〜10時間)に使用していただきます。

 ネックバンド

ネックバンド
目的

「小児期の成長発育のコントロール」と「加強固定(動かしたくない歯をしっかりと固定する)」の目的で使用される装置です。牽引方向を下向きにする場合は、こちらのタイプを使用します。

①発育期の小児では、上顎骨の発育抑制や下顎骨の発育を前下方への誘導

②発育期を過ぎた場合または成人の場合、上顎大臼歯の前方への傾斜を防止、後方への移動が必要な場合に効果的です。骨格性の上顎前突症や、前歯の深い噛み合わせを改善する効果があります。

使用方法

上顎大臼歯に固定されたバンドの外側のブラケットにフェイスボウを差し込みます。フェイスボウを取り付けた後、ネックバンドを首の後ろにセットしてフェイスボウに通します。基本的には、就寝時(1日約8〜10時間)に使用していただきます。

 上顎前方牽引装置

上顎前方牽引装置
目的

骨格性反対咬合の治療に絶大な効果のある「上顎前方牽引装置」。基本的に上顎骨の発育能力がある成長期にしか使えません。女子の場合は10歳まで、男子の場合は12歳までが目安となり、低年齢で始めた方が弱い力、短い期間で治ります。

骨格性の反対咬合の場合、3〜4歳くらいからこの装置で治療を始めることもあります。きちんと使用すると早い場合、6ヶ月目くらいから顕著な効果が見られ、上の歯が外側に出てきます。上顎を外側に牽引する反作用で、下顎を後方に押し返しているので下顎の前方への成長発育を抑制する効果もあります。

使用方法

口腔内に取り付けたフックと、フェイスマスクのフックの間にゴムを引っかけて使用します。

効果は使用時間に比例しますので、できるだけ長く付けていた方が効果的です。就寝時が1番長く連続して使えますので、忘れずに付けてください。外出時は外していただいて結構ですが、お家にいる間は就寝時以外でもなるべく使うよう努力しましょう。

【床矯正装置】
床矯正装置の「床」とは、英語ではプレート(板という意味)といい、歯の裏側の歯茎の部分に沿うように、プラスティック(歯科用レジン製)の板が覆っている装置のことです。
要は歯の部分をくりぬいた入れ歯のような形をしている装置だと思ってください。このプラスティックの板の中に、スプリングやスクリュー型のネジを組み込んで作用させる装置です。ここでは「床矯正装置」の代表例をご紹介します。

 バイトプレート

バイトプレート
目的

つけていることで、自然に下顎を前に動かすため、下顎の前方への成長を促します。また、下の前歯とステージ部分があたることにより下の前歯が圧下され、深い咬み合わせが改善されていきます。

この装置は、患者様ご自身が装置を噛みしめる力を利用して作用します。このように噛む力を使う装置のことを「機能的矯正装置」と言います。「噛む機能」を応用する装置という意味です。つまり患者様ご自身がしっかり噛んでくれないと、効かないということになります。

使用方法

効果は使用時間に比例しますので、できるだけ長く付けていた方が効果的です。特に昼間の方が下顎を前に動かす機会が多いため、効果的です。

※食事や歯磨きの時は外してください。

 アクティブプレート(大臼歯後方移動用)

アクティブプレート
(大臼歯後方移動用)
  拡大前
拡大後(拡大ネジで第一大臼歯を後方に移動)
目的

歯の部分的な位置移動に用いる自分で取り外しのできる矯正装置です。動かしたい部分のところだけに作用するようネジを付けます。したがって、動かしたい部分や方向により様々なデザインの装置が作製されます。

基本的には24時間つけておかなければなりませんが、食事の時と歯磨きの時は外します。

使用方法

拡大ネジが埋め込まれていますので、1週間に1度拡大ネジを90度回転させて下さい。90度回転につき0.25mm拡大されますので、4週間で約1mm歯の移動が可能です。

 拡大プレート

拡大プレート
拡大前
拡大後
目的

「アクティブプレート」が個別の歯を動かす装置であったのに対して、「拡大プレート」は歯並び全体を横に拡大する装置です。少し専門的に言うと、緩徐的側方拡大装置と言います。

アクティブプレート同様に、ネジを回すことで少しずつ拡大していきます。わずかに歯列全体を拡大することで、将来的な永久歯抜歯が避けられそうなケースに用います。

基本的には24時間つけておかなければなりませんが、食事の時と歯磨きの時は外します。

使用方法

拡大ネジが埋め込まれていますので、1週間に1度拡大ネジを90度回転させて下さい。90度回転につき0.25mm拡大されますので、4週間で約1mm歯の移動が可能です。

【保定装置】
マルチブラケット装置で歯を動かす治療(動的治療)が終了したあとで、歯並びが後戻りしないように押さえておく期間のことを「保定」といい、その時使う装置のことを「保定装置」と言います。

 リテーナー

リテーナー
目的

リテーナーとはマルチブラケット装置で歯を動かす治療が終了した後に、後戻り防止のために装着する保定装置のことです。

当院では第1選択として、歯並び全体をワイヤーとプラスチックが取り囲むタイプを使用しています。そのため最初は、入れ歯を入れたような感覚となり、すこし発音しにくく感じますが、1週間ほどで慣れて普通に発音できるようになります。

使用方法

最初の半年間は基本的に24時間使用していただきます。マルチブラケット装置撤去後の6ヶ月が1番後戻りしやすい時期ですので、装着時間は守るようにしてください。この時期を過ぎて歯並びが安定してくれば、8〜12時間/日(就寝時など)と短縮していきます。

※食事、歯磨きの時は外します。

 クリアリテーナー

クリアリテーナー
目的

多くの患者様は標準タイプのリテーナーを使っていただいております。しかし、喋りにくいことでお仕事や生活に支障が出てしまうという方や、せっかく矯正ワイヤーが外れたのだからメンテナンスにワイヤーを使うのはイヤという方には、オプションで「クリアリテーナー」をお作りすることもできます。

クリアリテーナーとは、歯の表面を薄い透明なプラスチックで密着する形で全部覆ってしまうタイプのリテーナーです。透明で目立ちにくく、歯の部分のみを覆っているだけなので発音もしやすいのが特徴です。しかし、クリアリテーナーは押さえる力が弱いので、標準タイプのリテーナーと使い分けていただく必要があります。

使用方法

違和感は少ないですが押さえる力が弱いので、必ずお家にいる時間と就寝時は標準タイプのリテーナーをお使いください。

※食事、歯磨きの時は外します。

 フィックスタイプ

フィックスタイプ
目的

ワイヤータイプの保定装置で、前歯部分を固定するのに使用します。細いワイヤーで歯の裏側から接着剤で固定します。

使用方法

ご自身で取り外しはできません。汚れがたまりやすいので、しっかり歯磨きしましょう。

【その他】

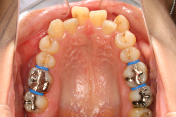
 セパレーション

セパレーション
目的

歯にバンド(薄い金属の板でできたリング状の部品)を取り付けるための準備処置です。バンドのサイズ合わせをしようとしても、そもそも歯と歯の間に隙間がなければ入っていきません。そこで、まず歯間分離(セパレーション)を行い、あらかじめ少し隙間ができるようにします。

これは小さい輪ゴムなので厳密には装置とは言えないかもしれませんが、大事な矯正のステップです。この処置を怠って無理なバンド装着を行うと、正しい位置に入らなかったり、装着時に強い痛みを生じさせたりします。

使用方法

ガム・キャラメルのような粘着性のある食べ物はお避けください。

 顎間ゴム

顎間ゴム
目的

顎間(がっかん)ゴムというのは、上の歯と下の歯を繋ぐゴムのことです。上下の歯を繋いでしまうため、取り外しが出来ないと食事や歯磨きが出来ません。ですので顎間ゴムは自分で付けたり外したりするタイプの装置です。

状況に応じていろいろなかけ方をします。V字型、三角形、平行四辺形、直線形などいろいろです。掛けるゴムの方向性により、2級ゴム、3級ゴムという言い方をするときもあります。

上下の歯にゴムをかけることで歯並びを全体的に移動させたり、特定の歯の移動を進みやすくする時などに補助的に使います。ワイヤー単独では難しい歯の移動が行える処置です。

使用方法

専用のホルダーで指定された場所にゴムをかけてください。

※食事、歯磨きの時は外します。

 歯科矯正用アンカースクリュー

歯科矯正用アンカースクリュー
目的

「歯科矯正用アンカースクリュー(以下アンカースクリューと省略)」とは人工の固定源のことを言います。通常の矯正治療は、歯同士の引っ張り合いで動かしていきますので、相対的にお互いが動き合うことになります。
ところが、矯正治療では本当は動いて欲しくない歯というのがあり、動くと治療がうまく進まなくなるのですが、アンカースクリューは正しく設置した場合、絶対的に動かない支点とすることができ、いわば矯正治療を根本的に見直す革命的な手法です。この方法を用いることで、今までは不可能とされてきたいくつかの症例が治療可能となってきました(アンカースクリューを植立する場所は症状によって異なります)。当院では積極的にこの手法を取り入れています。

利点

アンカースクリューの使用により他の装置(ヘッドギアや、パラタルアーチ)を使用せずに前歯を下げることができ、継続的に力がかけられるので非常に効果的です。

さらに、症状によっては、歯を抜かなければ矯正ができなかった方でも、抜かずに配列することができるようになりました。

また、今まで外科矯正をしなければならなかった症例の一部が、手術なしでの矯正が可能になりました。


前歯を後ろにさげるとします。


例えば、途中の歯を抜いてマルチブラケット装置をつけると...


歯が綱引きをしている状態になります。これでは奥歯が前にすべってきてしまします。せっかく抜いたスペースで前歯を十分さげられなくなってしまいます。


アンカースクリューがあると、引っ張りっこを無視して、目的の歯だけ移動することができます。


前歯を後ろにさげるとします。

 
  


例えば、途中の歯を抜いてマルチブラケット装置をつけると...

 
  


歯が綱引きをしている状態になります。これでは奥歯が前にすべってきてしまします。せっかく抜いたスペースで前歯を十分さげられなくなってしまいます。

 
  


アンカースクリューがあると、引っ張りっこを無視して、目的の歯だけ移動することができます。