症例解説
矯正歯科医はこれらのリスクを十分承知しておりますので、できるだけリスクが顕在化しないように最大限の努力をしますが、場合によっては避けられないこともあります。
また一部では、患者様のご協力が大事な項目もあります。相談・検査・診断時に担当医より十分な説明を受け、治療の可否をご判断ください。
以下にリスクと副作用を詳しく解説しておりますので、症例解説をご覧いただく前に必ずご一読下さい。
どのような医療にも共通して言えることですが、矯正治療には一定のリスク・副作用が存在します。治療効果・恩恵とリスク・副作用の比率は症例により様々ですが、重大なリスク・副作用が予見されて治療によるメリットを上回る症例であれば、そもそも治療を開始するべきではありません。
矯正歯科医はこれらのリスクを十分承知しておりますので、できるだけリスクが顕在化しないように最大限の努力をしますが、場合によっては避けられないこともあります。
また一部では、患者様のご協力が大事な項目もあります。相談・検査・診断時に担当医より十分な説明を受け、治療の可否をご判断ください。
以下にリスクと副作用を詳しく解説しておりますので、症例解説をご覧いただく前に必ずご一読下さい。
典型的な症例
■ 典型的な症例
当院における矯正歯科治療の一般的な治療期間と通院回数
成人矯正 約2年 30回
乳歯列の反対咬合 約1年 15回
※成長発育期を通して治療が必要な小児〜成人矯正の場合は、10年くらい治療を継続することがあります。
この場合の平均治療回数は60回くらいとなります。
非抜歯(親知らずは除く)治療への取り組み
■ 非抜歯治療への取り組み
(親知らずは除く)
矯正歯科でよく見られる「叢生(配列の凸凹)」、「上顎前突(出っ歯)」、「下顎前突(受け口、反対咬合)」などの多くの治療例において、歯を動かすためには配列全体の中でスペース的な余裕が必要になるので、便宜的に永久歯を何本か抜歯することがあります。従来、矯正学ではこれを「便宜抜歯」と言ってきたのですが、「便宜」という言葉が安易に抜歯をしていると誤解を生むことが多いため、最近では「必要抜歯」と言われています。
検査結果を見て治療方針を考えると、いろいろな理由から抜歯はやむを得ないと判断せざるを得ないことが多いのですが、矯正の都合でいらない歯があると言われるのは、患者様にとってはショックなことに違いありません。患者様によっては「非抜歯矯正法」で治療することを強く望まれる方もいらっしゃるのですが、非抜歯矯正法と言うような魔法があるわけではありません。世の中にはでたらめな情報が無責任に出回っているので、「絶対に歯を抜かない矯正」などと言う文言を時々見かけますが、そのような矯正法などこの世には存在しません。
矯正歯科医は、矯正の専門家である前に歯科医師ですので、当然歯をなるべく残したいと考えています。しかしながら良好な矯正治療結果を得て、その結果が長く保持されるようにと考慮すると、抜歯もまたやむを得ないという結論になることが多いのです。矯正治療における抜歯の是非については、こちらのページが大変参考になりますので、ご覧いただけると幸いです。
矯正治療における抜歯/非抜歯の議論について
しかし、条件が良く、始めるタイミングが適切で正しい治療法で取り組めば非抜歯で治療を終えることも可能な場合があります。
非抜歯で治療できるケースは多くはありませんが、治療のタイミング、患者様のより積極的なご協力、適切な治療法がうまくかみ合えば、永久歯を失うことなく最善の結果が得られる可能性が高くなります。混合歯列期に異常を感じたら、なるべく早い段階で、日本矯正歯科学会臨床指導医(旧専門医)または指導医クラスの矯正歯科医に、ご相談されることをおすすめします。条件が良いケースでもタイミングを逸してしまうと、抜歯ケースと判断する率が高くなってしまいます。
今回は、非抜歯で治療したケースを4ケース解説しております。
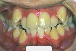
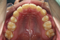
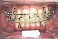
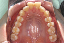
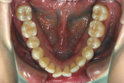
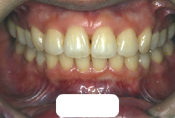
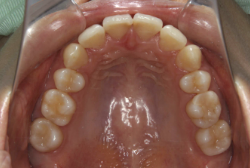
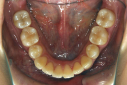
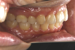
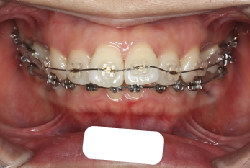
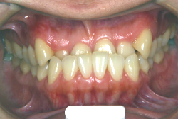
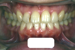
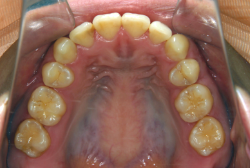
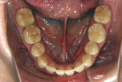
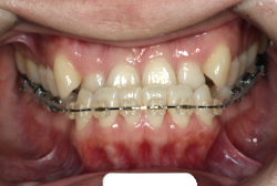
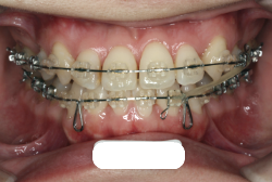
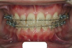
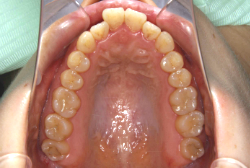
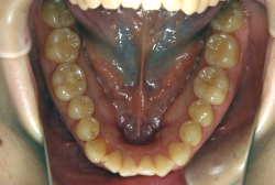
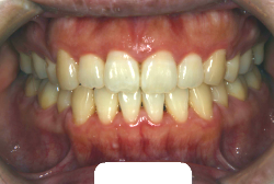
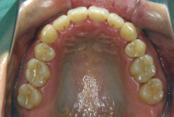
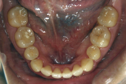
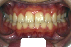
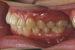
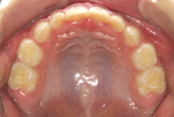
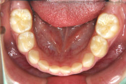
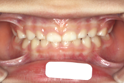
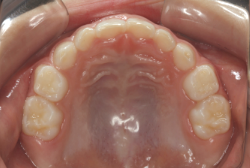
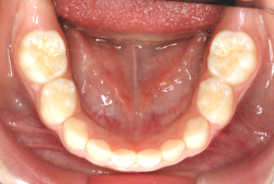
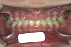
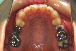
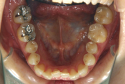
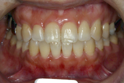
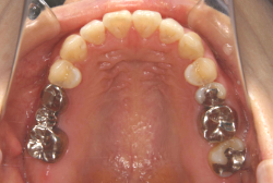
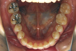
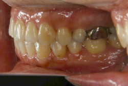
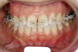
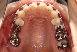
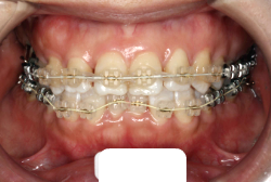
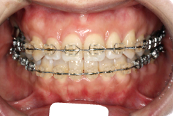
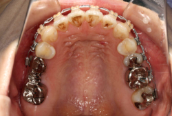
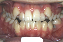
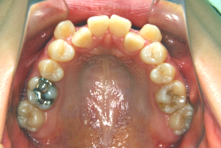
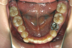
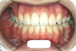
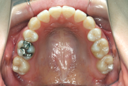
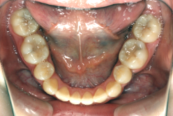
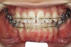
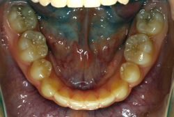
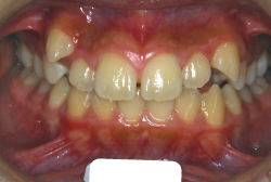
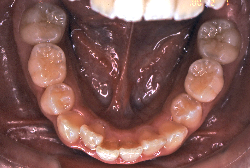
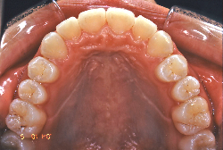
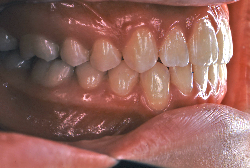
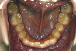
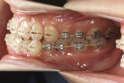
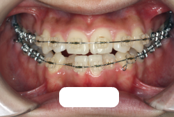
叢生(そうせい)
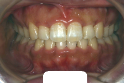
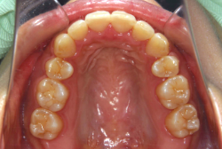
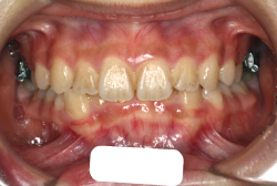
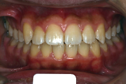
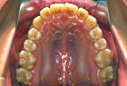
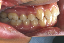
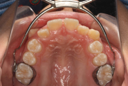
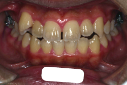
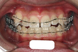
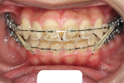
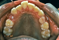
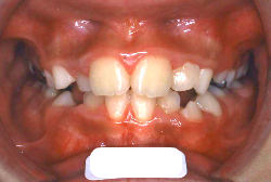
凸凹な歯並びのことを叢生といいます。矯正歯科に来院する患者様の主訴の中で、最も多いのが「配列の凸凹を真っ直ぐにしたい」というものです。歯の大きさと顎の大きさの調和がとれていないことが原因です。



















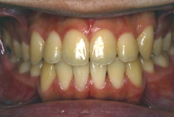
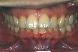
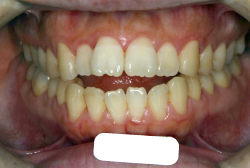
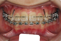
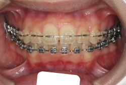
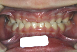
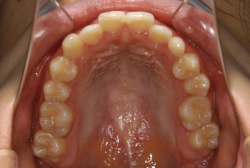
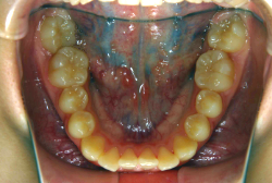
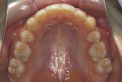
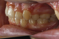
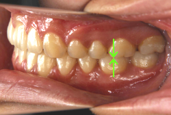
凸凹を主体としたケースの場合、当院の平均治療期間は18ヶ月ですので、このケースは少し長めに経過しました。理由の一つは凸凹の程度がかなり重症だったと言うことですが、もう一つは、右下第2大臼歯が45度くらい前傾していたため、それを整直化させるために時間を要したと考えています。いずれにしても最終結果は大変よい状態と思います。
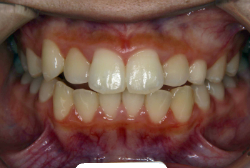
治療前は並びが乱れて見た目が悪いというのはもちろん問題ですが、歯科医学的に一番困るのは噛み合わせが悪いという点です。上下の犬歯(3番目の歯)は、上下的に離れた位置にあるため接触することができません。つまり歯としては存在していても、歯としては機能していないということです。
<本症例におけるリスクと副作用について>
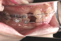
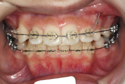
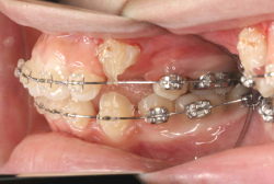
凸凹の強弱とは関係なく装置を最初に付けて数日は強い不快感・疼痛がありますが、数日~2週間で慣れてきます。特にこの症例のように凸凹が厳しい場合は、凸凹の歯の表面にさらに凸凹した装置が付きますので、非常に歯が磨きにくくなり虫歯や歯周病のリスクが高まりますので、歯磨き指導を十分に受けて、セルフメンテナンスに努めることが重要です。
本症例のように前歯部の凸凹が強い場合、歯間部歯肉が痩せて退縮する場合があります(ブラックトライアングル)。またマルチブラケット法全般に言えることは、口腔粘膜の違和感、金属アレルギー、歯根吸収などのリスクがありますので、事前に担当医より詳しい説明を受けて下さい。
矯正治療は、歯科医と患者様の共同作業で進めていく治療ですので、リスクと副作用軽減のために患者様のご理解とご協力が必要であることをご承知置き下さい。

基本料金 300,000円
マルチブラケット装置 250,000円
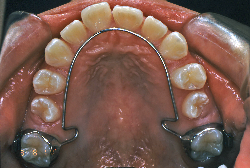
パラタルアーチ 60,000円
ヘッドギヤ 70,000円
リテーナー 30,000円×2
処置料 140,000円(5,000円×28)
合計 840,000円(税抜)
料金表はこちら
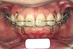
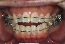
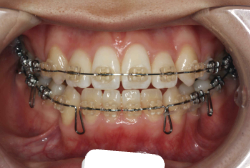
上顎前突
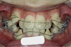
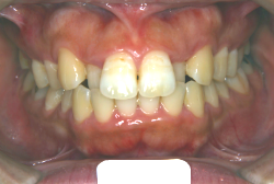
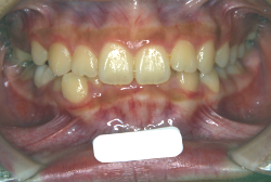
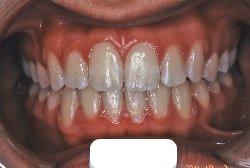
上顎前突(出っ歯)とは上顎が前に出ている状態です。この症状の特徴は、上下の歯並び全体の位置関係が相対的に上顎が優位になっていて、前歯が外に反っているだけでなく奥歯の位置関係も上が前にズレています。さらに凸凹の症状も合併していることがよくあり、上の前歯の見た目を気にして来院する方が多いのですが、実は今言った理由で噛み合わせにも異常があるため、このまま放置すると顎関節症という症状が出ることもあります。



















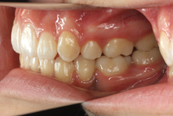
「出っ歯を治したい」という主訴で来院したケースです。診断の結果、「2級1類の上顎前突+軽度叢生」と判明しました。2級というのは、基本的に出っ歯の噛み合わせになっていることを言います。その中でも上の前歯が著しく外に反っているケースを、「1類」といいます。初診時の横向きの写真を見ると、それがはっきり分かります。上の前歯に押されて唇も膨らんで、審美線をかなりオーバーしています(審美線とは、鼻の先端と顎の先端を結ぶ線のことで、この線よりも唇は内側にある方が良いとされています)。
このような症状の場合は、前歯を内側に入れるためにかなり大量の隙間を必要とします。通常は上下左右の小臼歯を抜歯させていただくのが正解です。治療後は歯の角度が正しくなっただけでなく、唇の審美性が大幅に改善しました。もちろん噛み合わせ的にも正しい状態が確立しています。
<本症例におけるリスクと副作用について>
マルチブラケット装置は、装置装着時より数日から2週間程度強い不快感・疼痛が有りますが、本症例場合は治療後半で上顎前歯を内側へ牽引する際にも、強い疼痛が出ることがあります。
また、移動距離が大きい歯は、歯根吸収のリスクが高まりますので、移動と休止にゆとりのある治療間隔が必要です。またマルチブラケット法全般に言えることは、口腔粘膜の違和感、金属アレルギー、虫歯などのリスクがありますので、事前に担当医より詳しい説明を受けて下さい。
矯正治療は、歯科医と患者様の共同作業で進めていく治療ですので、リスクと副作用軽減のために患者様のご理解とご協力が必要であることをご承知置き下さい。

基本料金 300,000円
マルチブラケット装置 250,000円
パラタルアーチ 60,000円
ヘッドギヤ 70,000円
リテーナー 30,000円×2
処置料 160,000円(5,000円×32)
合計 900,000円(税抜)
料金表はこちら
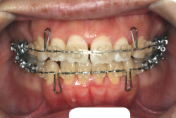
下顎前突・反対咬合
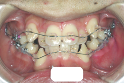
反対咬合とは、歯の生えてくる角度が悪くて下の前歯が上の前歯の外側に出てしまう”歯性反対咬合”と、上下の顎の骨の大きさと形に問題があることで起きる”骨格性反対咬合”に大別されます。骨格的な問題がないか、あったとしても軽度な場合は、大人でも矯正治療で改善することが出来ます。矯正治療のみで治せるのか外科矯正を併用した方が良いのかは、検査診断後に矯正専門医とよく相談して決めていただきます。



















初診時の状態ですが、前歯の噛み合わせが逆転していて、下の前歯が外側に来て、上の前歯が裏側になっています。口元の様子ですが、前歯の重なり方が逆なので、唇の様子もそれを反映して、下唇が突出しています。反対咬合としてはかなり重症です。
分析してみると歯の傾き方に問題があるだけでなく、顎の骨の大きさと形にも問題があることが分かりました。ただし、骨の問題点が見つかったからと言って、必ずしも外科矯正になるわけではなく、このくらいの症状ですと、通常の矯正でもきれいに治すことができます。
診断の結果、下の前歯を正しい位置まで内側に入れていくためには、十分な隙間を確保することが避けられないと判断し、上の左右第二小臼歯と下の左右第一小臼歯は抜歯させて頂くことにしました。歯の本数は減りましたが、歯科医学的評価も大きく改善しましたし、審美的にも大幅な改善が見られますね。特に口元の様子が全然変わりました。
<本症例におけるリスクと副作用について>
本症例では、逆転している前歯の重なりを出来るだけ短期間で解消する必要があります。そこでまず下の前歯を内側へ入れる準備を進め、その後、上の前歯を外へ出すのと同時に下の歯を内側に入れる治療をします。この治療段階では上下前歯が非常に強く当たらざるを得ない時期があり、このような衝撃の強い噛み合わせは(咬合性外傷と言います)、歯の破折、歯根吸収、歯肉退縮などを引き起こす可能性があります。そこで、この期間を最短で済ませるために上下で開始時期をずらしたりいろいろな工夫が必要となります。
またマルチブラケット法全般に言えることは、口腔粘膜の違和感、金属アレルギー、虫歯などのリスクがありますので、事前に担当医より詳しい説明を受けて下さい。
矯正治療は、歯科医と患者様の共同作業で進めていく治療ですので、リスクと副作用軽減のために患者様のご理解とご協力が必要であることをご承知置き下さい。
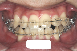
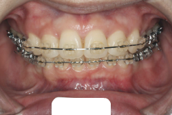
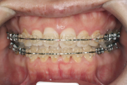
上下顎前突
上下とも歯列が前方に突出していて口を閉じにくい、または口を閉じたときに口元が前に出ている状態を上下顎前突といいます。
歯並びがきれいでも前歯が前に傾いていて、口元に突出感があることもあります。前歯が外に傾くと唇が押し出されることになりますので、少し不満げな口元になってしまいます。



















「上の前歯の凸凹」という主訴で来院したケースです。確かに上の左右二番目の歯が内側に引っ込んでいて、凸凹が目立つ状態です。歯並びの凸凹を矯正学では 叢生(そうせい)と言いまして、確かにご本人的にはそこが気になるのですが、矯正学的には前歯の前突の方がより問題となるケースです。
初診時の写真をご覧いただくと、何となく前歯が前傾しているのが感じられると思うのですが、よく見ると上の歯だけでなく、下の前歯も前傾しているのがわかります。このように上の前歯も下の前歯も両方外向きになっている症状のことを、「上下顎前突」と言います。こういうケースの場合は上下左右の小臼歯を抜く(つまり4本抜歯する)ことで配列の中に隙間を作り、その隙間を利用して配列を揃えるだけでなく、 前歯を内側に入れていく治療をします。
治療前後の口元の変化です。前歯の角度が大きく変わりました。治療前は外向きの前歯に押されて、口元がふくらみすぎの状態でした。黄色の線は鼻の頂上と顎の先端を結んだ線で、審美線と言います。審美線と唇はあまり接触しない方が良いと考えられています。矢印の部分がかなりラインオーバーしています。治療後はよりスマートで美しい横顔になりました。このように歯並びを直すと、唇の表情ひいてはお顔全体の表情にも良い変化が生まれます。
<本症例におけるリスクと副作用について>
マルチブラケット装置は、装置装着時より数日から2週間程度強い不快感疼痛が有りますが、本症例場合は治療後半で上下顎前歯を内側へ牽引する際にも、強い疼痛が出ることがあります。
また、移動距離が大きい歯は、歯根吸収のリスクが高まりますので、移動と休止にゆとりのある治療間隔が必要です。またマルチブラケット法全般に言えることは、口腔粘膜の違和感、金属アレルギー、虫歯などのリスクがありますので、事前に担当医より詳しい説明を受けて下さい。
矯正治療は、歯科医と患者様の共同作業で進めていく治療ですので、リスクと副作用軽減のために患者様のご理解とご協力が必要であることをご承知置き下さい。

基本料金 300,000円
マルチブラケット装置 250,000円
パラタルアーチ 60,000円
リテーナー 30,000円×2
処置料 135,000円(5,000円×27)
合計 805,000円(税抜)
料金表はこちら
開咬
開咬という症状は、一部の歯が上下的に接触できない症状を持っています。一番よく見られるのは、奥歯は咬めるけれども前歯の部分が咬めない(閉じても前歯同士が当たらないという状態)という症状で、この状態を、前歯部開咬といいます。そのほかに、臼歯部開咬や側方開咬などいろいろ珍しい症状はありますが、通常”開咬”というと”前歯部開咬”のことをいいます。



















「前歯が重ならない」という主訴で来院したケースです。診断の結果、「重症の開咬」と判明しました。
この方の場合は、マルチブラケット装置は、歯の位置づけを3次元的に正確に行うことの出来る最善の矯正方法です。したがって開咬の治療も、形の改善としては問題なく行うことが出来ます。しかし、開咬が他の症状と少し違う点は、舌や唇の動かし方に問題があることから生じた症状なので、この問題を放置したまま形だけを作っても、時間が経つと簡単に後戻りしてしまうという問題です。つまり、マルチブラケット法で形態の矯正をするのと同時に、原因となっている筋肉の動きを正常に修正しなければなりません。この筋肉の動きを正常に修正する治療が、"筋機能訓練療法(Myo-functional therapy:略してMFT)"といわれるものです。
筋機能訓練療法は、筋機能訓練療法士という特別なトレーニングを積んだ歯科衛生士が行います。内容的には、いろいろなメニューがあり、簡単なものから始めて少しずつ筋肉の力を強めていき最終的には、無意識に起きる舌の突出をなくし、正しい摂食嚥下運動を獲得するまでトレーニングしていきます。この症例は、もちろん筋機能訓練にもしっかり取り組みました。治療後は開咬が改善しただけでなく、出っ歯の症状もなくなり唇の審美性が大幅に改善しました。もちろん奥歯の噛み合わせも正しい状態が確立しています。
<本症例におけるリスクと副作用について>
マルチブラケット装置は、装置装着時より数日から2週間程度強い不快感疼痛が有りますが、本症例場合は治療後半で上下顎前歯を内側へ牽引する際にも、強い疼痛が出ることがあります。
開咬の治療の特徴として、上下の歯に自分でゴムを掛ける治療(顎間ゴム)をすることがありますが、この時に「顎関節で音が鳴る、顎が痛い、口が開けにくい」と言った顎関節症状が出ることがありますので、この場合は我慢をせずに担当医にすぐに相談し指示を仰いで下さい。
また、移動距離が大きい歯は、歯根吸収のリスクが高まりますので、移動と休止にゆとりのある治療間隔が必要です。またマルチブラケット法全般に言えることは、口腔粘膜の違和感、金属アレルギー、虫歯などのリスクがありますので、事前に担当医より詳しい説明を受けて下さい。
矯正治療は、歯科医と患者様の共同作業で進めていく治療ですので、リスクと副作用軽減のために患者様のご理解とご協力が必要であることをご承知置き下さい。

基本料金 300,000円
マルチブラケット装置 250,000円
パラタルアーチ 60,000円
ヘッドギヤ 70,000円
リテーナー 30,000円×2
処置料 90,000円(5,000円×18)
合計 830,000円(税抜)
筋機能訓練療法 2,000円×6回
料金表はこちら
過蓋咬合
過蓋(かがい)咬合とは、奥歯を閉じた時に前歯が深く咬み込み、下の前歯がほとんど見えなくなるくらい閉じすぎになる症状です。強く咬んでいると言うことは、力が強く出て一見良さそうに聞こえますが、深く咬みすぎることは歯にも良くないですし、口腔周囲の環境としても好ましくない状態です。
深く咬みすぎると、歯と歯で接触しながら閉じる距離と面積が広範囲にわたりすぎ、必要以上に歯をすり減らします。また顎の関節の自由な動きを歯と歯の接触関係が必要以上に規制してしまうため、顎の関節の動きがだんだん悪くなり、顎が開きにくくなったり、開いていく途中で大きな音が出たり、ひどいときには途中からそれ以上開けなくなったりします。こういう症状を"顎関節症"と言いますが、こういう状態にもっともなり易い咬み合わせです。顎関節症は、中年期以上にある日突然症状が発現することが多く、一度発症するとなかなか健康な状態にならない、消耗性の病気です。若くて抵抗力のあるうちはまだ良いのですが、過蓋咬合の人は歯がすり減りやすく、時間の経過とともに、ますます咬み合わせが深くなっていく傾向があり、早期発見・早期治療が望まれます。



















「歯並びの凸凹を直したい」という主訴で来院したケースです。診断の結果、たしかに「叢生」という隙間が足りないと言うことが原因の凸凹症例でした。
しかし、それ以上に問題なのは「前歯の噛み合い方が深すぎる」という症状で、初診の歯の正面写真を見ると下の前歯が全く見えません。こういう症状を矯正学では「過蓋咬合(かがいこうごう)」と言います。過蓋咬合を放置すると、将来的に顎関節に悪影響を与えるとされており、顎関節症の原因因子の一つです。また下の前歯の先端が、上の前歯の裏側の歯茎と強く接触するため、歯周病の原因にもなります。
検査の結果、凸凹が軽症なため非抜歯で矯正すること可能と判断、マルチブラケット装置にて治療しました。治療後は歯並びが綺麗になっただけでなく、噛み合わせ的にも正しい状態が確立しています。
<本症例におけるリスクと副作用について>
マルチブラケット装置は、装置装着時より数日から2週間程度強い不快感疼痛が有ります。過蓋咬合の治療の特徴として、治療開始時時点では、上の歯が深くかぶっているため、下の歯に矯正器具を付けることが出来ません。下の器具はある程度治療が進んでから追加で付ける手順になります。
歯の移動の方向性としては、前後的な移動よりも歯の上下動が中心となり歯の根の先端に負担のかかりやすい治療で、歯根吸収のリスクが高まりやすい症状ですので負荷と休止に余裕が必要です。
またマルチブラケット法全般に言えることは、口腔粘膜の違和感、金属アレルギー、虫歯などのリスクがありますので、事前に担当医より詳しい説明を受けて下さい。
矯正治療は、歯科医と患者様の共同作業で進めていく治療ですので、リスクと副作用軽減のために患者様のご理解とご協力が必要であることをご承知置き下さい。

基本料金 300,000円
マルチブラケット装置 250,000円
ヘッドギヤ 70,000円
リテーナー 30,000円×2
処置料 120,000円(5,000円×24)
合計 800,000円(税抜)
料金表はこちら
小児反対咬合
反対咬合とは下の前歯が上の前歯より前に出ている状態で、受け口とも言われます。奥歯の場合も下の歯が上の歯より外側にある場合を反対咬合と言います。原因は下顎が上顎より過度に成長する場合や、上顎の成長が少ない場合に起こります。骨格性反対咬合が重症な場合は、幼児期から治療する必要があり、この時期を逸すると、上下の骨の大きさと形が矯正治療では治せないくらいのズレとなり、外科矯正により問題を解決せざるを得なくなります。



















「受け口」という主訴で来院したケースです。乳歯列期の反対咬合は、ほぼ間違いなく「骨格性の反対咬合」です。骨格性というのは、歯の位置に問題があるから反対咬合になっていると言うことではなく、骨の大きさと形に問題がある、つまり発育の異常が原因であると言うことです。
上顎前方牽引装置で3歳から4歳にかけて治療した一例です。早ければ6ヶ月くらいで、上の歯が外側に来た状態で噛めるようになります。この装置は、上顎の発育を助け、下顎の発育を抑制する効果があるので、上顎骨の発育不良を伴うケースに最も効果的です。
矯正歯科というと歯並びを直す医者というイメージですが、欧米では矯正歯科医=顎骨整形医と考えられていて、顔の発達を正常にする医者としての役割が重要とされています。日本ではこの面がおろそかにされていることが多く、乳歯列期に反対咬合を見つけても、多くの歯科医師がまだ小さいから様子を見ましょうというアドバイスをしてしまい、一番良い治療のタイミングを逃してしまうことが多々見られます。小児の反対咬合は、まずは矯正歯科の専門医に診せてください。早いお子さんですと3歳くらいから治療の対象になり、早く対応すればするほど簡単に治すことができます。
<本症例におけるリスクと副作用について>
オーバーレイは、取り外し式の装置ですが、この装置単独では矯正力は発生しません。したがってオーバーレイを装着しただけでは、歯の痛みはありませんが上顎前方牽引装置を併用することで矯正力が働くと上顎全体に弱い痛みが生じます。
口腔内に掛けるゴムが口角付近を通過しますので、口角炎を生じる場合があります。その場合は担当医と相談して牽引方向を変更してもらって下さい。顎とおでこに当たるプラスチック部分と皮膚アレルギー様症状を起こすことがありますので、ガーゼなどの適度なクッションを間において下さい。
矯正治療は、歯科医と患者様の共同作業で進めていく治療ですので、リスクと副作用軽減のために患者様のご理解とご協力が必要であることをご承知置き下さい。
空隙歯列
空隙歯列とは歯と歯の間に隙間があいている状態をいいます。いわゆる「すきっぱ」です。中心の歯に隙間がある状態を正中離開といいます。
顎が大きい、歯が小さい、歯の数が足りない、歯と歯茎をつなぐ筋(上唇小帯)の異常が原因に挙げられます。



















「隙間を閉じたい」という主訴で来院したケースです。診断の結果、「空隙歯列弓+軽度叢生」と判明しましたが、この方の場合は上は隙がある、つまりスペースが余っているのに対して、下は軽度の凸凹がある、つまりスペースが足りないと言う状態でした。
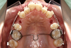
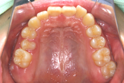
通常、凸凹の症状の場合は、小臼歯を抜歯させていただくのですが、この方の場合は凸凹も軽度で親知らずもないため、非抜歯で対応することになりました。マルチブラケット装置にて治療を開始し、治療期間は11ヶ月でした。治療後は正中の空隙が閉鎖されただけでなく、下の凸凹と下の歯並びの形態そのものが大幅に改善されました。もちろん噛み合わせ的にも正しい状態が確立しています。
<本症例におけるリスクと副作用について>
マルチブラケット装置は、装置装着時より数日から2週間程度強い不快感疼痛が有ります。空隙歯列は比較的治しやすい症状なので短期間で終了する場合が多いですが、非常に後戻りが起きやすい症状でもあります。保定装置を指示どおりに使わないと短期間で元に戻ってしまう場合もあります。通常のリテーナーがどうしても使えない場合は、歯の裏側にワイヤーを固定し強力に後戻りを防止する方法(固定式リテーナー)もありますが、歯石がつきやすかったり、デンタルフロスが通せないなど口腔衛生管理に問題が生じる可能性もありますので、担当医とよく相談して下さい。
またマルチブラケット法全般に言えることは、口腔粘膜の違和感、金属アレルギー、虫歯などのリスクがありますので、事前に担当医より詳しい説明を受けて下さい。
矯正治療は、歯科医と患者様の共同作業で進めていく治療ですので、リスクと副作用軽減のために患者様のご理解とご協力が必要であることをご承知置き下さい。
先天性欠如
先天性欠如とは生まれつき永久歯が部分的に欠如している状態をいいます。一般的に下顎前歯や小臼歯が欠如していることが多いです。



















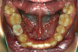
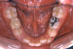
「左奥歯でものが噛めない」という主訴で来院したケースです。診断の結果、基本的には「叢生」という隙間が足りないと言うことが原因の凸凹症例でしたが、左下の乳歯が高校生になってもまだ残存している状態で、そのせいで噛み合わせが極端に悪くなっていました。
検査の結果、乳歯の下には後継ぎの永久歯が先天的に欠如していました。配列の凸凹が厳しく非抜歯で矯正することは難しく、仮に無理をして非抜歯治療をしても後々「後戻り」が懸念されることから、このような症例の場合は通常、上下顎左右第一小臼歯を抜歯させていただくのですが、左下は乳歯を抜歯して、第一小臼歯は残すことにしました。これで結果として、小臼歯部を上下左右で一つずつ減らしたのと同じ状況になります。治療後は歯並びが綺麗になっただけでなく、噛み合わせ的にも正しい状態が確立しています。
このように、先天的に永久歯が足りないという症例は最近増えています。親知らずはなくても特に問題になりませんが、その他の歯が足りないと言うのは審美的にも機能的にも重大な障害となります。しかし、矯正治療を正しく行えば、結果として歯がすべてあった場合と全く同じ仕上げにすることも可能です。
<本症例におけるリスクと副作用について>
マルチブラケット装置は、装置装着時より数日から2週間程度強い不快感疼痛が有ります。この症例では永久歯の先天欠如に伴い乳歯の晩期残存が有りますが、いずれにせよ上下左右の小臼歯抜歯が必要な症例ですので、元々歯が欠損していても結果は同じです。しかし、晩期残存していた乳歯を抜いた歯槽骨は歯の動きが悪いことが多く、治療期間が長期化するリスクがあります。それに伴い歯根吸収を起こすリスクもあります。
またマルチブラケット法全般に言えることは、口腔粘膜の違和感、金属アレルギー、虫歯などのリスクがありますので、事前に担当医より詳しい説明を受けて下さい。
矯正治療は、歯科医と患者様の共同作業で進めていく治療ですので、リスクと副作用軽減のために患者様のご理解とご協力が必要であることをご承知置き下さい。

基本料金 300,000円
マルチブラケット装置 250,000円
リンガルアーチ 60,000円
リテーナー 30,000円×2
処置料 180,000円(5,000円×36)
合計 850,000円(税抜)
料金表はこちら
牽引(埋伏犬歯を牽引した症例)
埋伏歯とは、骨または歯茎の下に埋まって出てこない状態の歯のことを言います。埋伏歯があると歯が押されて歯並びが悪くなってしまったり、永久歯が生えてこれない原因になる恐れがあります。
埋伏歯の多くは、乳歯の早期脱落や晩期残存(乳歯が抜けずに残ること)、顎の骨の不十分な発育などにより、永久歯の生えてくる場所が不足することで生じます。また、歯が骨と癒着してしまったり、歯の形、大きさの異常など、正常な萌出を妨げる要因があると埋伏歯が生じることもあります。



















「乳歯が生え替わらない」という主訴で来院したケースです。 診断の結果、「左上永久犬歯が第一小臼歯後方上部に埋伏しているため、左上乳犬歯が晩期残存している症例」と判明しました。
このような症状の場合は、手術で埋伏している永久歯に金具を取り付け、矯正装置で牽引する必要があります。同時に凸凹の解消と前突した前歯を内側に入れるために上下左右の小臼歯を抜歯させて頂くことといたしました。
この方の場合は、マルチブラケット装置にて治療を開始し、治療期間2年3ヶ月で終了しました。犬歯の牽引距離が非常に大きかったため当院の平均治療期間よりも大幅に期間がかかりましたが、埋伏犬歯を完全に正しい位置まで誘導することができました。同時に 前歯の前突と配列の凸凹も解消しました。
このような症例は、成人してしまうと埋伏歯の反応性が悪く、あまりにも動きが悪い場合は牽引をあきらめて抜歯する場合もあります。歯科医院の検診で親知らず以外の埋伏歯を指摘された場合は、できるだけ早く矯正専門医に御相談下さい。
<本症例におけるリスクと副作用について>
マルチブラケット装置は、装置装着時より数日から2週間程度強い不快感疼痛が有りますが、本症例場合は埋伏歯を開窓手術し、遠く離れた位置に矯正器具が付いていますので強い違和感が生じ、歯ブラシも届きにくく口腔衛生状態を保つのにはかなりの努力が必要です。条件の悪い場所に接着されているため、装置が外れやすく日常生活上もかなり配慮が必要となります。
また、埋伏歯は移動距離が大きくなることが多く、歯根吸収のリスクが高まりますので、移動と休止にゆとりのある治療間隔が必要です。
またマルチブラケット法全般に言えることは、口腔粘膜の違和感、金属アレルギー、虫歯などのリスクがありますので、事前に担当医より詳しい説明を受けて下さい。
矯正治療は、歯科医と患者様の共同作業で進めていく治療ですので、リスクと副作用軽減のために患者様のご理解とご協力が必要であることをご承知置き下さい。

基本料金 300,000円
マルチブラケット装置 250,000円
パラタルアーチ 60,000円
リテーナー 30,000円×2
処置料 150,000円(5,000円×30)
合計 820,000円(税抜)
料金表はこちら
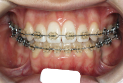
成長発育期の叢生症例・非抜歯治療



















今回は「歯並びの凸凹を治したい」という主訴で来院したケースです。診断の結果、「成長発育期の叢生」と判明しました。叢生とは歯並びの凸凹のことですが、この方の場合は上顎が少々重症で、上の犬歯が外側へ飛び出し、いわゆる「八重歯」という状態でした。凸凹の解消のためには永久歯を抜歯して隙間を作って残った歯をきれいに配列する方法(抜歯法)と、歯列を拡大して配列する方法(非抜歯法)の2種類があります。歯列の拡大にはさらに2つの方法が有り、横方向へ拡大する場合と、臼歯を後方に移動させて拡大する方法があります。今回の症例のようなケースでは、横方向へ拡大してもあまり効果的ではなく、後方への移動が最適です。上の臼歯を後方へ移動させるために、今回はヘッドギヤという取り外し式の装置を、夜寝る時に半年ほど使用していただきました。
注意点としてここでお伝えしたいのは、矯正専門医ではない歯科医院で、いわゆる「床矯正」という方法を行うと、たいてい横方向の拡大になってしまいます。無駄に横方向の拡大をするとかえって症状を悪化させたり、何の効果もないことになってしまいます。一見簡単そうな矯正に見えたとしても、しかるべき矯正専門医に診断してもらうことをおすすめします。
この方の場合、治療期間はヘッドギアを6ヶ月、マルチブラケット法を7ヶ月でした。治療後は凸凹が改善しただけでなく唇の審美性が大幅に改善しました。もちろん噛み合わせ的にも正しい状態が確立しています。
<本症例におけるリスクと副作用について>
マルチブラケット装置は、装置装着時より数日から2週間程度強い不快感疼痛が有ります。
非抜歯の治療の特徴として、上下の歯に自分でゴムを掛ける治療(顎間ゴム)をすることがありますが、この時に「顎関節で音が鳴る、顎が痛い、口が開けにくい」と言った顎関節症状が出ることがありますので、この場合は我慢をせずに担当医にすぐに相談し指示を仰いで下さい。
また、大臼歯の遠心移動を目的としてヘッドギヤをする場合は、地道に装着時間を増やす必要があります。ワイヤーが口唇に当たることで、口角炎や口内炎を生じることがあります。
またマルチブラケット法全般に言えることは、口腔粘膜の違和感、金属アレルギー、虫歯などのリスクがありますので、事前に担当医より詳しい説明を受けて下さい。
矯正治療は、歯科医と患者様の共同作業で進めていく治療ですので、リスクと副作用軽減のために患者様のご理解とご協力が必要であることをご承知置き下さい。

基本料金 300,000円
マルチブラケット装置 250,000円
ヘッドギヤ 70,000円
リテーナー 30,000円×2
処置料 80,000円(5,000円×16)
合計 760,000円(税抜)
料金表はこちら
成長発育期の上顎前突症例・非抜歯治療



















診断の結果、典型的なアングル2級1類の上顎前突です。上下歯列の正中の不一致も見られます。しかし、歯の大きさは平均値に近く、配列の凸凹がそれほど見られません。このまま放置すると、将来的には抜歯を伴う矯正治療を行う可能性が高くなりますが、このタイミングで適切な治療をすると、非抜歯治療が可能かもしれません。
矯正歯科医が着目するのは、奥歯の噛み合わせの位置関係です。前歯の位置にそれなりの差が生じていても、奥歯の位置が正しければそれほど重症という評価にはなりません。このケースの場合は、上下の第一大臼歯の位置関係は、直線的に一致しているタイプでした(矢印が一致)。混合歯列時期の奥歯の位置関係としては、ほぼ正常な状態といえますが、症状から言うと、上の奥歯をもっと後ろに下げてやることができれば、上顎歯列全体に余裕ができるので、凸凹も解消できるし、前歯の傾きを内向きに修正することもできると考えられました。しかしこのまま全体に永久歯が生えきってしまうと、上の前歯が出たままになってしまいますので、生え替わりが完了する前に大急ぎで奥歯を後ろに下げる必要があると判断しました。
こういう症状でもっとも効果があるのが、顎外固定装置と言って、お口の外部から奥歯に力をかける方法です。 写真の装置はネックバンドというタイプの装置です。この装置は取り外し式ですので、夜寝るときに毎日自分で取り付けて、寝ている間に少しずつ上の奥歯を後ろに下げていきます。この装置には、奥歯を後ろに下げる効果だけでなく、上顎の過剰な成長発育の抑制、下顎の成長促進作用があるとされており、上顎前突の症状にはいずれも有利な効果が期待できます。
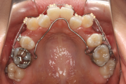
ネックバンドを1年半使用して、上顎大臼歯が十分後ろに下がったところで、裏側にリンガルアーチという固定のワイヤーを取り付けて、新しく生じた隙間が狭くならないよう「保隙(ほげき)」という処置をして、永久歯が生えそろうまで待機中の様子です。配列全体に隙間が生じているのがお分かりいただけると思います。これだけの隙間が確保できていれば、抜歯をしなくても、あとで上の前歯を内側に理想的な角度で引っ込めることができます。このように完全に永久歯列になる前に、十分な隙間が確保できるかどうかが、非抜歯で矯正できるかどうかの分かれ目になります。
初診時と違い、上の奥歯がより後方に下がっていることが分かります。ただしこの段階では奥歯は後ろに下がりすぎの状態です。しかし次の段階でマルチブラケット法を始めると、上の奥歯は次第に前にズレて来ます。最終段階で正しい位置にするためには、この段階では余分に後ろに下がっている必要があります。
第2段階としてマルチブラケット法を非抜歯で1年間行いました。歯の傾斜が修正され、正中も一致し、美しく機能的な配列に仕上がりました。再診時に確保した隙間をすべて使って、すべての永久歯を理想的な位置に配列することができました。前傾していた上の前歯は真っ直ぐに直立し、完全な正常咬合が確立できています。
<本症例におけるリスクと副作用について>
マルチブラケット装置は、装置装着時より数日から2週間程度強い不快感疼痛が有ります。
非抜歯の治療の特徴として、上下の歯に自分でゴムを掛ける治療(顎間ゴム)をすることがありますが、この時に「顎関節で音が鳴る、顎が痛い、口が開けにくい」と言った顎関節症状が出ることがありますので、この場合は我慢をせずに担当医にすぐに相談し指示を仰いで下さい。
また、大臼歯の遠心移動を目的としてヘッドギヤをする場合は、地道に装着時間を増やす必要があります。ワイヤーが口唇に当たることで、口角炎や口内炎を生じることがあります。本症例のように大臼歯の遠心移動終了後、移動歯の後戻り防止としてリンガルアーチを使用することがありますが、舌がこすれて粘膜に傷を生じることがあります。気にして触りすぎないようにしましょう。バンドというパーツが接着剤で止めてありますが、一部が取れても気づかない場合が有り放置すると虫歯のリスクがありますので、定期的な点検を怠らないようにして下さい。
またマルチブラケット法全般に言えることは、口腔粘膜の違和感、金属アレルギー、歯周病などのリスクがありますので、事前に担当医より詳しい説明を受けて下さい。
矯正治療は、歯科医と患者様の共同作業で進めていく治療ですので、リスクと副作用軽減のために患者様のご理解とご協力が必要であることをご承知置き下さい。

基本料金 300,000円
マルチブラケット装置 250,000円
ネックバンド 70,000円
リンガルアーチ 60,000円
リテーナー 30,000円×2
処置料 80,000円(5,000円×16)
合計 820,000円(税抜)
料金表はこちら
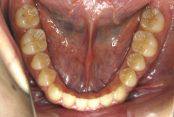
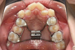
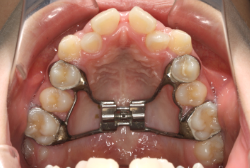
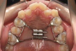
歯科矯正用アンカースクリューを用いた症例(骨格性反対咬合 非抜歯治療)



















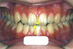
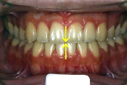
「ものがうまく噛めない」という主訴で来院したケースです。診断の結果、「骨格性反対咬合に伴う咬合不良+軽度叢生」と判明しました。原因としては特に下顎の左側が過成長したため、骨格性反対咬合になり、特に左側での噛み合わせが非常に悪くなっていると診断しました。初診時の写真を見ると、上下の正中線の大きなズレ、左側の噛み合わせの不良がはっきり分かります(黄色の矢印と緑の矢印は一致しているのが正しい状態です)。
そもそも、このような状態となっているのは骨の大きさに問題があるため生じていますので、場合によっては、「外科矯正」によって下顎の骨を外科的に縮めることで修正します。患者様が外科矯正をご希望されない場合は、従来ですと上下左右の小臼歯抜歯を行い矯正するのが普通です。
今回の患者様の場合は、「外科」も「小臼歯抜歯」も拒否されましたので、歯科矯正用アンカースクリュー(以下 アンカースクリュー)を用いて、下顎の歯列全体を後方に下げるという方法を取りました。
治療中の写真で、アンカースクリューより歯を後ろへ牽引しているのがお分かりいただけるかと思います。牽引を1年ほど続け、途中補助的に上下にゴムをかける(これを顎間ゴムと言います)手法なども追加し、全体で21ヶ月で治療を終えることが出来ました。
結局歯の本数を減らすことなく、すべてご自分の歯を残して、正しい配列と噛み合わせにすることができました。凸凹があまりひどくないため、簡単そうに見えると思いますが、このケースの初診の状態を見ると、熟練の矯正歯科医でも悩みのつきないケースです。まして、外科も出来ない、抜歯もイヤ、と言うことになると、従来の方法では治療不可能と考えられるのですが、アンカースクリューを使うことで最近は不可能が可能となってきました。
<本症例におけるリスクと副作用について>
マルチブラケット装置は、装置装着時より数日から2週間程度強い不快感疼痛が有ります。非抜歯の治療の特徴として、上下の歯に自分でゴムを掛ける治療(顎間ゴム)をすることがありますが、この時に「顎関節で音が鳴る、顎が痛い、口が開けにくい」と言った顎関節症状が出ることがありますので、この場合は我慢をせずに担当医にすぐに相談し指示を仰いで下さい。
また、大臼歯の遠心移動を目的としてアンカースクリューを用いる場合は、移動に伴いスクリューの位置替えをする必要がありますので、2-3か月に一度打ち直しが必要となります。骨質の場所によって差があるためうまく定着しないこともあります。また金属アレルギー症状が出る場合は非適応となります。
またマルチブラケット法全般に言えることは、口腔粘膜の違和感、歯周病、虫歯などのリスクがありますので、事前に担当医より詳しい説明を受けて下さい。
矯正治療は、歯科医と患者様の共同作業で進めていく治療ですので、リスクと副作用軽減のために患者様のご理解とご協力が必要であることをご承知置き下さい。

基本料金 300,000円
マルチブラケット装置 250,000円
リテーナー 30,000円×2
処置料 120,000円(5,000円×24)
合計 730,000円(税抜)
アンカースクリュー 30,000円/本×2
料金表はこちら
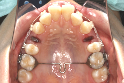
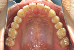
混合歯列期から治療開始した側方拡大による非抜歯症例



















「配列の凸凹を治したい」という主訴で来院したケースです。診断の結果、永久歯がすべて生えそろうと、かなり厳しい叢生(歯並びの凸凹のことです)になる可能性が高いと判明しました。原因としては特に上の顎の骨が小さいため、歯を収容する容量不足になっていると診断しました。このケースの場合は、成長発育期に治療開始しますので、顎の骨を土台ごと大きくすることが可能です。
そこで、まず急速拡大装置を使用して上顎骨の拡大を行い、上顎骨の容量が拡大したことを確認後、マルチブラケット装置を使って全体の修正をする、と言う二段階の作戦をとることになりました。
この時期に使う急速拡大装置は、適切な診断に基づいて正しく使用することで確実に骨を大きくすることができます。拡大することで隙間が確保できるので、永久歯の抜歯を避けることができます。
急速拡大装置を1日1回装置の中央にある拡大ネジを、ご自身で回して頂くことで25日間くらいかけて、6mmほど拡大しました。拡大後は、上顎の前歯の隙間が広がっていることがお分かりいただけると思うのですが、土台の骨ごと広がるのでこのような隙間ができます。その後1年半くらいマルチブラケット装置を使用して、全体の修正を行いました。
結局、歯の本数を減らすことなく、すべてご自分の歯を残して正しい配列にすることができました。このケースの場合、2009年10月より拡大と経過観察を行い、2012年3月より1年2ヶ月マルチブラケット装置を装着、2013年5月に治療を終了しました。2段階で行う治療としては短期間で終了しているケースと思います。
<本症例におけるリスクと副作用について>
上顎に強い狭窄がある混合歯列期から18歳くらいまでの患者様に対して、本症例のように上顎急速拡大を行うことがあります。この装置は顎整形力に近い強力な力を口蓋に適用し、左右の口蓋骨を縫合部より強制的に乖離させることで上顎骨そのものを大きくする療法です。一時的に骨が離開するため顔面中央部に強い違和感、鼻腔奥の痛みを生じます。
また骨の離開に伴い、上顎前歯の正中が大きく離開しますが一時的な現象です。また噛み合わせが急激に変化するため「顎関節で音が鳴る、顎が痛い、口が開けにくい」と言った顎関節症状が出ることがありますので、この場合は我慢をせずに担当医にすぐに相談し指示を仰いで下さい。
装置の容積が大きいため、舌に強い違和感、発音障害を生じますが2週間くらいで慣れてきます。マルチブラケット装置は、装置装着時より数日から2週間程度強い不快感疼痛が有ります。
またマルチブラケット法全般に言えることは、口腔粘膜の違和感、金属アレルギー、虫歯などのリスクがありますので、事前に担当医より詳しい説明を受けて下さい。
矯正治療は、歯科医と患者様の共同作業で進めていく治療ですので、リスクと副作用軽減のために患者様のご理解とご協力が必要であることをご承知置き下さい。

基本料金 300,000円
マルチブラケット装置 250,000円
急速拡大装置 80,000円
リンガルアーチ 60,000円
リテーナー 30,000円×2
処置料 165,000円(5,000円×33)
合計 915,000円(税抜)
料金表はこちら
矯正歯科治療に伴う一般的なリスクや副作用について
■ 矯正歯科治療に伴う一般的なリスクや副作用について
どのような医療にも共通して言えることですが、矯正治療には一定のリスクが存在します。
矯正歯科専門医はこれらのリスクを十分承知しておりますので、できるだけリスクが顕在化しないように最大限の努力をしますが、場合によっては避けられないこともあります。
また一部では、患者様のご協力が大事な項目もあります。相談・検査・診断時に担当医より十分な説明を受け、治療の可否をご判断ください。
① 最初は矯正装置による不快感、痛み等があります。数日間~1、2週間で慣れることが多いです。
② 歯の動き方には個人差があります。そのため、予想された治療期間が延長する可能性があります。
③ 装置の使用状況、顎間ゴムの使用状況、定期的な通院等、矯正治療には患者さんの協力が非常に重要であり、それらが治療結果や治療期間に影響します。
④ 治療中は、装置が付いているため歯が磨きにくくなります。むし歯や歯周病のリスクが高まりますので、丁寧に磨いたり、定期的なメンテナンスを受けたりすることが重要です。また、歯が動くと隠れていたむし歯が見えるようになることもあります。
⑤ 歯を動かすことにより歯根が吸収して短くなることがあります。また、歯ぐきがやせて下がることがあります。
⑥ ごくまれに歯が骨と癒着していて歯が動かないことがあります。
⑦ ごくまれに歯を動かすことで神経が障害を受けて壊死することがあります。
⑧ 治療途中に金属等のアレルギー症状が出ることがあります。
⑨ 治療中に「顎関節で音が鳴る、あごが痛い、口が開けにくい」などの顎関節症状が出ることがあります。
⑩ 様々な問題により、当初予定した治療計画を変更する可能性があります。
⑪ 歯の形を修正したり、咬み合わせの微調整を行ったりする可能性があります。
⑫ 矯正装置を誤飲する可能性があります。
⑬ 装置を外す時に、エナメル質に微小な亀裂が入る可能性や、かぶせ物(補綴物)の一部が破損する可能性があります。
⑭ 装置が外れた後、保定装置を指示通り使用しないと後戻りが生じる可能性が高くなります。
⑮ 装置が外れた後、現在の咬み合わせに合った状態のかぶせ物(補綴物)やむし歯の治療(修復物)などをやりなおす可能性があります。
⑯ あごの成長発育により咬み合わせや歯並びが変化する可能性があります。
⑰ 治療後に親知らずが生えて、凸凹が生じる可能性があります。加齢や歯周病等により歯を支えている骨がやせると咬み合わせや歯並びが変化することがあります。その場合、再治療等が必要になることがあります。
⑱ 矯正歯科治療は、一度始めると元の状態に戻すことは難しくなります。
以上、検査・診断・治療中または初診相談時点で、ご不明・ご心配な点は、担当医より詳しい説明をさせていただきますので、ご遠慮なくお尋ね下さい。